Saint-Hyacinthe 450 250-2550

Pourquoi vos radiographies semblent alarmantes…

alors que vous n’avez presque jamais eu mal ! 

Dans le quotidien d’une clinique comme la nôtre, c’est une question que j’entends souvent:

« Comment se fait-il que mes radiographies montrent autant de dégénérescence… alors que je n’ai jamais ressenti de grosses douleurs avant aujourd’hui? »
Pour beaucoup de patients, cette découverte est un choc. Le décalage entre l’état réel de leur colonne et ce qu’ils ont senti au fil des années semble incompréhensible.

Pour éclairer ce phénomène, j’utilise une analogie simple, concrète, que j’appelle le syndrome du frigo. Cette métaphore aide à comprendre comment le corps se détériore tranquillement, sans nécessairement produire de signaux d’alarme constants et évidents.

Quand tout semble fonctionner… jusqu’au matin où ça ne fonctionne plus

Imaginez que vous achetez un nouveau réfrigérateur. Tout est impeccable. Il fonctionne en silence, garde les aliments au frais, ne fait pas de bruit étrange, ne produit aucune odeur. Vous vivez votre vie normalement, sans jamais penser à lui. Les années passent.

Puis, un matin, vous entrez dans la cuisine et voyez une flaque d’eau devant l’appareil. Le frigo vient de rendre l’âme.

Ce qui est important à retenir est le suivant :
le frigo ne s’est pas “brisée durant la nuit”.

Sa détérioration a commencé il y a 10, 12, parfois 15 ans, sans que vous ne le remarquiez. Les pièces se sont usées lentement, sans bruit, sans vibration, sans signe évident. Jusqu’au jour où… une pièce de trop lâche, et vous êtes confronté à un problème soudain, visible et, parfois, coûteux.

Votre colonne vertébrale fonctionne exactement de la même manière.

La colonne, un système silencieux (jusqu’à ce qu’il ne le soit plus)

Le dos et le cou ne sont pas faits pour vous « avertir » au fur et à mesure que les structures se détériorent. Le corps est extrêmement performant pour compenser, contourner, répartir les charges ailleurs, modifier la posture, ajuster les tensions musculaires, engager un côté plus que l’autre, diminuer l’amplitude de certaines articulations… le tout, souvent sans que vous en ayez conscience.

Ces compensations sont automatiques, neurologiques, et très efficaces.
Elles ont un seul objectif : vous permettre de continuer à fonctionner.

Pendant ce temps, les structures profondes — disques, facettes articulaires, ligaments, articulations intervertébrales — s’usent doucement, graduellement.

Sans bruit. Sans douleur constante.

Puis, un jour, comme le frigo, la mécanique compense jusqu’à sa limite.

C’est le moment où les patients me disent :

« Je n’ai rien fait de spécial… et soudain, j’ai eu mal. »
« Ça a commencé en me penchant pour attacher mes chaussures. »
« J’ai juste tourné la tête dans la voiture. »

Ce n’est pas ce mouvement anodin qui a créé le problème.
Ce mouvement n’a fait que révéler un état dégénératif déjà présent depuis des années.

Pourquoi vous ne sentiez rien avant?

Voici ce que je rappelle à mes patients :

1 – Le corps ne “crie” pas au premier signe d’usure

La douleur apparaît généralement lorsque l’inflammation dépasse un certain seuil, ou lorsque les compensations ne suffisent plus.

2 – Les disques et articulations ne sont pas richement innervés

Ils peuvent se détériorer longtemps avant que les nerfs adjacents ne soient irrités.

3 – Les tissus s’adaptent… jusqu’à ce qu’ils n’y arrivent plus

Votre corps peut tolérer des degrés impressionnants de dégénérescence avant d’envoyer un message clair.

4 – Le stress biomécanique n’est pas constant

Certains jours, les compensations fonctionnent très bien; d’autres, un simple faux mouvement met fin à l’équilibre fragile.

Le rôle des radiographies : voir ce qui ne fait pas nécessairement mal

Pour plusieurs, les radiographies créent un déclic.
Elles donnent enfin un sens à ce qui semblait incohérent :
Pourquoi je souffre maintenant? Pourquoi maintenant et pas avant? Pourquoi ça a “lâché” d’un coup?

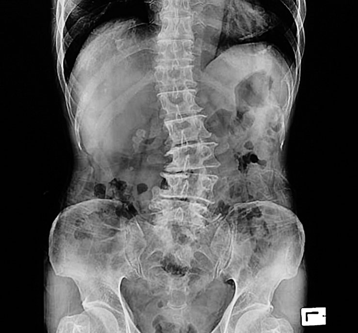
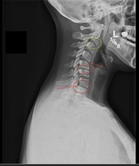
Les radiographies n’expliquent pas toujours le symptôme exact du jour, mais elles montrent le terrain dans lequel vos douleurs apparaissent :

  • Perte d’espace discal
  • Arthrose
  • Remodelage osseux
  • Altération des courbures
  • Calcifications
  • Dégénérescences d’usure

Ces changements ne sont pas apparus en une semaine, ni en un mois.
Ils reflètent un processus installé depuis longtemps — tout comme un frigo qui fonctionne “correctement”, mais dont les composantes internes fatiguent depuis des années.

Pourquoi cette compréhension change tout

Beaucoup de patients ressentent du soulagement juste en comprenant le phénomène.
Ils réalisent que :

  • ils n’ont rien “fait de mal”;
  • leur douleur n’est pas la preuve d’une blessure soudaine;
  • leur colonne ne s’est pas “brisée” du jour au lendemain;
  • il existe une logique derrière ce qu’ils vivent.

Et surtout :

Ils comprennent pourquoi un plan de soin structuré est nécessaire, même si les douleurs ne sont pas présentes tous les jours.

Le traitement vise deux choses :

  1. soulager les symptômes actuels;
  2. ralentir — ou lorsque possible, stabiliser — le processus dégénératif sous-jacent.

Dans les cas chroniques, c’est souvent l’évolution naturelle du problème, plus que l’épisode douloureux lui-même, qu’il faut adresser.

Le message clé du Syndrome du Frigo

Le corps ne vous alerte pas dès qu’un changement dégénératif commence.
Il compense, il s’adapte, il protège.

Jusqu’au jour où il n’y arrive plus, et où les symptômes apparaissent soudainement.

La douleur est donc souvent le dernier chapitre, pas le premier.

Comprendre cela change la relation au soin. Les patients cessent de voir le traitement comme une réaction ponctuelle à un symptôme, et commencent plutôt à voir leur colonne comme un système mécanique, vivant, qui bénéficie d’un entretien régulier — exactement comme ce fameux frigo que l’on aurait peut-être aimé faire inspecter bien avant qu’il ne rende l’âme.

Et vous?

Si vous souffrez de douleurs récalcitrantes au bas du dos ou au cou, le décompression neurovertébrale est peut-être la solution à vos souffrances.

Programme Secondo

Prenez note que la première rencontre qui comprend une consultation et un examen est toujours sans frais. Le but est de déterminer si Solutions Discales est l’option la plus appropriée dans votre cas.

Pour information ou pour un rendez-vous, composez le 450 250-2550 ou sthyacinthe@solutionsdiscales.ca